![]()
![]()

↓
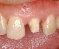
■エステニアの特徴
* 高い強度と審美性を有するハイブリッドセラミックス。
* 無機フィラーを92wt%という高密度に含有しており臼歯部咬合圧に
耐えうる強度。
* コンポジットレジンの利点を活用、強度と耐久性を持つ修復材で
陶材に比べて対合歯や修復する歯牙にダメージが少ない
審美歯冠修復材料。
* 専用のガラスファイバーフレーム「EGファイバー」を用いることで、
適応症例がフレーム材を用いたブリッジにも拡大。
* 表面改質微粒子フィラーを導入することにより、優れた物性を
維持しながら高い透明性を再現
* 新規顔料の導入と、調色技術の採用により天然歯に近い
色調再現が可能
![]()

↓
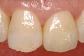
■シンフォニーの特徴
* 美しさに増して強さと優しさを融合させたハイブリッド・レジン
* 「Tアクリレート」の採用により自然な色調と透明感が可能。
* プラークや色素が付着しにくい。
* 弾力性が高く破損しにくい性質をもち「ロカテック・システム」の
使用により金属面との接着も強力。
* 適度の柔軟さによりポーセレンのように対合歯を傷つけない。
![]()

↓
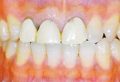
■グラディアフォルテの特徴
* 超高強度MFRナノハイブリッドタイプ。
*「グラディア」による色調、透明性、対合歯にやさしい設計を基に、
ナノフィラー(超微粒子シリカ)を均一に分散配置。
* クラウン表層で最も要求させる強度、耐磨耗性、ツヤの維持性
などの耐久性を飛躍的に向上。
* 最終光重合後に加熱重合を行いますのでレジン成分が確実に
硬化し、充分な性能を発揮。
* クラウンを製作する時のオペークはグラディアのオペークを使用。
















